بسیاری از افراد خستگی مفرط، بیحوصلگی یا احساس سنگینی دائمی را صرفاً به استرسهای روزمره، کمبود خواب...
تصور کنید بعد از یک روز پرفشار کاری، وارد یک وان آب گرم میشوید؛ عضلات منقبض شل...
نارضایتی ترامپ از گزینههای محدود نظامی علیه ایران؛ فرماندهان ارشد نسبت به درگیری گسترده هشدار دادند
نارضایتی ترامپ از گزینههای محدود نظامی علیه ایران؛ فرماندهان ارشد نسبت به درگیری گسترده هشدار دادند
تنشها در منطقه خاورمیانه در آستانه دور جدید مذاکرات ایران و آمریکا به اوج خود رسیده است....
سازمان هواشناسی کشور با صدور هشدار سطح نارنجی شماره ۸۴ از تشدید فعالیت یک سامانه بارشی خبر...
راهنمای کامل باربری سعادت آباد شامل نکات بسته بندی اصولی، مدیریت زمان و مسیر، خدمات اتوبار حرفه...
بارها در مطب با بیمارانی مواجه شدهام که پس از کشیدن دندان، جراحی دندان عقل یا جراحیهای...
آمارها نشان میدهد از هر هشت زن ایرانی، یک نفر در طول زندگی خود به سرطان پستان...
سازمان زیباسازی شهرداری تهران با برگزاری جشنواره اکران نوروزی، فرصتی استثنایی برای برندها فراهم کرده است تا...
ناسا با تکمیل موفقیتآمیز دومین تمرین سوختگیری موشک غولپیکر SLS، پنجره پرتاب مأموریت آرتمیس ۲ را برای...
در دنیای آموزش الکترونیک، شناخت قطعات پایهای و عملکرد آنها، پایهی هر پروژه موفق است. دو عنصر...
معاون سرمایه انسانی سازمان اداری و استخدامی کشور بخشنامه ساعات آغاز به کار ادارات در ماه مبارک...
تیمهای دانشآموزی کشورمان در نمایشگاه بینالمللی نوآوریهای دانشآموزی (iWISE) ۲۰۲۶ که در دوبی برگزار شد، با کسب...
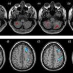
پزشکی تشخیصی در آستانه یک انقلاب بزرگ قرار گرفته است؛ فناوری نوین هوش مصنوعی قادر شده است...
نور خورشید، منبع حیات، میتواند دوست یا دشمن پوست باشد. در حالی که برای تامین ویتامین D...
